
طريقة تصوير فائقة السرعة تكشف الآليات الخفية للتواصل بين خلايا الدماغ، وتُقدّم أدلة جديدة على أصول مرض باركنسون.
مكّنت تقنية "التجميد والتزحلق" العلماء من رصد إعادة تدوير المشابك العصبية فائقة السرعة في أنسجة دماغ الفئران والبشر، مُسلّطةً الضوء على الآليات الجزيئية المحفوظة.
قد تُساعد هذه التقنية في الكشف عن سبب ضعف التواصل في مرض باركنسون، وتُوجّه استراتيجيات علاجية جديدة.
تصوير "التجميد والتزحلق" المُبتكر في أنسجة الدماغ الحية
أفاد باحثون في كلية الطب بجامعة جونز هوبكنز أنهم استخدموا تقنية "التجميد والتزحلق" لمراقبة تواصل خلايا الدماغ في أنسجة حية حقيقية مأخوذة من كل من الفئران والبشر. وقد مكّنتهم هذه التقنية من التقاط تفاعلات يصعب عادةً رؤيتها.
وفقًا للفريق، قد تُقدم نتائج هذه التجارب، التي مُوِّلت من قِبَل المعاهد الوطنية للصحة ونُشرت اليوم (24 نوفمبر) في مجلة نيورون، أدلةً جديدة حول المُحفِّزات البيولوجية الكامنة وراء الأشكال غير الوراثية لمرض باركنسون. وتشير مؤسسة باركنسون إلى أن الحالات المتفرقة من هذه الحالة تُشكِّل غالبية التشخيصات. تتضمن هذه الحالات مشاكل في الوصلة الدقيقة التي تُرسِل فيها إحدى خلايا الدماغ إشارات إلى الخلية التالية. يقول شيجيكي واتانابي، الحاصل على درجة الدكتوراه، والأستاذ المُشارك في علم الأحياء الخلوي بكلية الطب بجامعة جونز هوبكنز والباحث الرئيسي في الدراسة، إنَّ موقع الإشارة هذا، المُسمَّى المشبك العصبي، لطالما شكّل تحديًا للعلماء لفحصه بالتفصيل.
ويقول واتانابي: "نأمل أن تُساعدنا هذه التقنية الجديدة لتصوير ديناميكيات الغشاء المشبكي في عينات أنسجة الدماغ الحية على فهم أوجه التشابه والاختلاف بين الأشكال غير الوراثية والوراثية لهذه الحالة". ويضيف أنَّ الأفكار المُكتسبة من خلال هذه الطريقة قد تُسهم في نهاية المطاف في تطوير استراتيجيات علاجية جديدة لهذا الاضطراب.
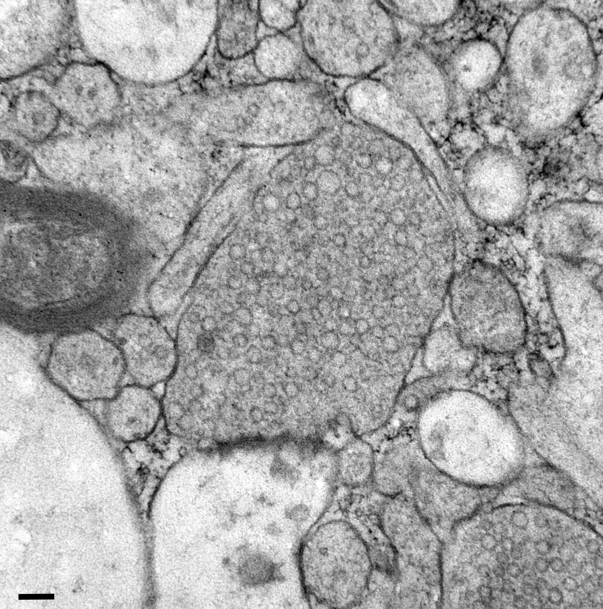
.jpg)
نسيج دماغ بشري مُستأصل، مُجمد بعد 100 مللي ثانية من التحفيز، يُظهر بنيةً داخلية. مقياس الشريط = 100 نانومتر.
عينات من أدمغة الفئران والبشر تُقدم رؤىً قيّمة
في الدراسة الجديدة، استخدم الباحثون عينات من أدمغة فئران سليمة، بالإضافة إلى أنسجة قشرية دماغية حية أُخذت بإذن من ستة أفراد يخضعون لعلاج جراحي للصرع في مستشفى جونز هوبكنز. كانت الإجراءات الجراحية ضرورية طبيًا لإزالة الآفات من حُصين الدماغ.
بالتعاون مع العالمين ينس إيلرز وكريستينا ليبمان في جامعة لايبزيغ بألمانيا، أثبت الباحثون صحة أسلوب التجميد السريع من خلال مراقبة إشارات الكالسيوم، وهي عملية تُحفز الخلايا العصبية على إطلاق النواقل العصبية في أنسجة أدمغة الفئران الحية.
مراقبة اندماج الحويصلات وإعادة تدويرها آنيًا
بعد ذلك، حفّز العلماء الخلايا العصبية في أنسجة دماغ الفأر باستخدام أسلوب التزجيج والتجميد، ولاحظوا أماكن اندماج الحويصلات المشبكية مع أغشية خلايا الدماغ، ثم إطلاق مواد كيميائية تُسمى النواقل العصبية، والتي تصل إلى خلايا الدماغ الأخرى. ثم لاحظوا كيف تُعيد خلايا دماغ الفأر تدوير الحويصلات المشبكية بعد استخدامها في التواصل العصبي، وهي عملية تُعرف باسم الالتقام الخلوي، والتي تسمح للخلايا العصبية بامتصاص المواد.
ثم طبّق الباحثون أسلوب التزجيج والتجميد على عينات أنسجة دماغية من أشخاص مصابين بالصرع، ولاحظوا مسار إعادة تدوير الحويصلات المشبكية نفسه في الخلايا العصبية البشرية.
في عينات دماغ كل من الفأر والإنسان، كان بروتين Dynamin1xA، وهو ضروري لإعادة تدوير غشاء التشابك بسرعة فائقة، موجودًا في المناطق التي يُعتقد أن عملية الالتقام الخلوي تحدث فيها على غشاء التشابك.
يقول واتانابي: "تشير نتائجنا إلى أن الآلية الجزيئية للبلعمة الخلوية فائقة السرعة محفوظة بين الفئران وأنسجة الدماغ البشرية"، مشيرًا إلى أن الدراسات في هذه النماذج قيّمة لفهم البيولوجيا البشرية.
الخطط المستقبلية: رسم خرائط لديناميكيات الحويصلات لدى مرضى باركنسون
في التجارب المستقبلية، يأمل واتانابي في الاستفادة من تقنية الصعق والتجميد لدراسة ديناميكيات الحويصلات المشبكية في عينات أنسجة الدماغ المأخوذة بإذن من مرضى باركنسون الذين يخضعون لتحفيز عميق لأنسجة الدماغ
المصدر: